%26%238220%3BNata+due+volte%26%238221%3B%3A+bambina+con+tumore+viene+operata+e+rimessa+in+utero+%26%238211%3B+FOTO
universomammait
/2016/10/25/nata-2-volte-bambina-con-tumore-viene-operata-e-rimessa-in-utero-foto/amp/
Attualità

“Nata due volte”: bambina con tumore viene operata e rimessa in utero – FOTO

Published by
Redazione Universo Mamma

Care unimamme, vi abbiamo parlato altre volte della possibilità, grazie alla scienza, di operare bambini mentre sono ancora in utero, come nel caso di Lionel, il primo bambino italiano nato dopo un intervento di chirurgia fetale.

Si tratta di nuove tecniche di intervento che consentono di garantire la sopravvivenza di bambini che in passato non ce la facevano.

E’ il caso di una bambina, Lynlee Hope, che molti definiscono “bambina del miracolo“.

Bambina nata due volte a causa di un tumore

Margaret Boemer, già mamma di 2 figli, era incinta del terzo e durante un’ecografia di routine a 16 settimane scopre che c’è qualcosa che non andava.

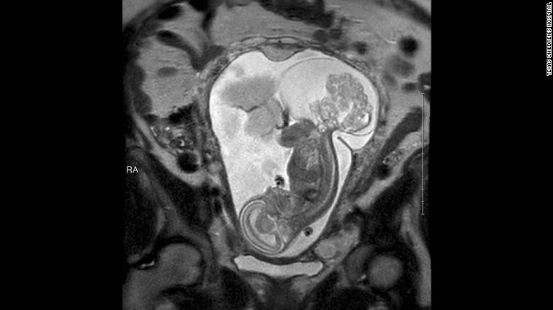
Hanno visto qualcosa nell’ecografia, e il dottore è venuto e ci ha detto che c’era qualcosa di serio che non andava con nostra figlia e che aveva un teratoma sacro-coccigeo. E’ stato scioccante e spaventoso, perché non sapevamo cosa quella parola significasse o quale diagnosi avrebbe comportato” ha raccontato.

Un teratoma sacro-coccigeo o del retto è un tumore dei tessuti embrionali nella parte finale della colonna vertebrale

Mentre per i genitori si trattava di una novità, per i medici del Texas Childrens’ Hospital il teratoma rapprensentava uno dei tumori più comuni presenti in un neonato, anche se piuttosto raro. Secondo il dottor Darrell Cass del Texas Children’s Fetal Center è infatti più frequente nelle bambine e ha una casistica di 1 ogni 35 mila nascite.

Purtroppo per i genitori questa non è stata l’unica notizia negativa, in quanto Margaret era in realtà in attesa di 2 gemelli ma ne aveva perso uno prima del secondo trimestre.

Sempre secondo il dottor Cass, alcuni di questi tumori possono essere ben tollerati e i bambini possono nascere e poi essere operati dopo il parto. Ma nella metà dei casi tali tumori possono causare problemi al feto a livello di circolazione sanguigna.

Nel caso di questa bambina il tumore stava infatti crescendo “rubando” il sangue alla bambina, e di fatto limitandone la crescita.

In alcuni casi il tumore vince e il cuore non ce la fa, si arresta e il bambino muore” ha spiegato il dottor Cass alla Cnn.

Era ciò che stava accadendo alla figlia di Margaret: peggiorava ogni giorno. Mentre alcuni medici hanno consigliato ai genitori di terminare la gravidanza, i medici del Texas Children’s Hospital, specializzati in interventi su feti, hanno proposto ai genitori di intervenire chirurgicamente.

LynLee non aveva molte possibilità. A 23 settimane il tumore stava spegnendo il suo cuore e portandola ad avere un attacco cardiaco, quindi la scelta era tra permettere al tumore di invadere il suo corpo o darle una possibilità di vita. E’ stata una decisione semplice per noi: volevamo darle la vita” ha raccontato la mamma.

A 23 settimane e 5 giorni Cass ha effettuato l’operazione chirurgica fetale, e il tumore era grande quasi quanto il feto. L’operazione è durata circa 5 ore, anche se la parte effettuata sul feto è durata solo 20 minuti. La maggior parte del tempo è stato impegnato nell’aprire l’utero e nel richiuderlo in maniera da renderlo meglio sigillato possibile.

Il dottor Cass ha poi raccontato che poiché il tumore era veramente grande, l’incisione dell’utero è stata forzatamente grande, e il bambino era praticamente fuori, mentre il liquido amniotico è drammaticamente fuoriuscito. Durante l’operazione il cuore di LynLee ha avuto un bassissimo battito, quasi si è fermato.

E’ quasi un miracolo riuscire ad aprire un utero così e ri-sigillarlo  e che tutto ciò funzioni” ha affermato il dottor Cass.

Margaret è dovuta rimanere a letto per il resto della gravidanza. Nonostante i dolori, ha recuperato le forze resistendo per altre 12 settimane: LynLee Hope è infatti nata con taglio cesareo il 6 giugno a 36 settimane.

La piccola combattente che ha preso il nome delle 2 nonne è nata di 2,4 kg e sana! C’era infatti il rischio che il feto venisse partorito subito dopo l’operazione in utero o che morisse.

Dopo il parto, a 8 giorni LynLee è stata sottoposta ad una nuova operazione per rimuovere i resti del tumore che i chirurghi non era riusciti a raggiungere e che aveva ricominciato a crescere. Dopo l’operazione la bambina è stata trasferita in TIN ma dopo alcune settimane è potuta andare a casa, per la felicità di tutta la famiglia.

E’ stato davvero difficile. Ma guardandola sorridere con le sue sorelle. Tanto dolore ma ne è valsa la pena“.

E voi unimamme che ne pensate di questa incredibile storia? Certamente non è stato facile per questa bambina e per questi genitori affrontare tutto ciò, ma la cosa importante è che LynLee stia bene. Se volete potete seguire la sua pagina Facebook.

 

Redazione Universo Mamma

Recent Posts

  • Alimentazione dei bambini

Cibi e allergeni: le nuove disposizioni per i bambini fino ai 12 anni

Questo articolo esplora le nuove disposizioni su cibi e allergeni per i bambini, sottolineando l'importanza…

19 ore fa
  • Salute e benessere bambini

Malanni di stagione: come non andare in panico se tuo figlio ha la febbre alta

Questo articolo offre consigli pratici su come gestire la febbre alta nei bambini, riconoscere i…

1 settimana fa
  • Allattamento

Ruttino neonato: mito o necessità? La verità e come farlo nel modo giusto

Dopo ogni poppata, i genitori attendono con ansia il momento in cui il loro piccolo…

1 settimana fa
  • Scuola

Compiti a casa: un incubo? Come trasformare lo studio in un gioco

Pianti disperati e proteste per non fare i compiti a casa sono scene quotidiane in…

1 settimana fa
  • Salute e benessere in gravidanza

Gonfiore addominale in gravidanza: cause e rimedi

Questo articolo esplora le cause dei gonfiori addominali in gravidanza e offre consigli pratici per…

1 settimana fa
  • Adozione e affido

Celebrità adottate: ecco 9 incredibili storie poco conosciute

Nel mondo dello showbusiness ci sono diverse celebrità adottate di cui si sa molto poco:…

1 settimana fa