Trattenere+gli+starnuti+%C3%A8+pericoloso%3A+l%26%238217%3Ballarme+degli+esperti+%28FOTO%29
universomammait
/2018/01/19/trattenere-gli-starnuti-e-pericoloso-lallarme-degli-esperti-foto/amp/
Attualità

Trattenere gli starnuti è pericoloso: l’allarme degli esperti (FOTO)

Published by
Maria Sole Bosaia

Unimamme, magari voi, inconsapevoli, avete le brutta abitudine di fermare i vostri starnuti. Oggi vi parliamo del perché non dovreste farlo.

starnutire: cosa non dovreste mai fare

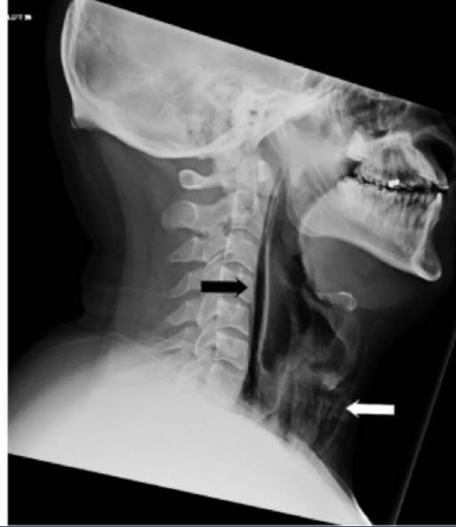
Un uomo, un trentaquattrenne inglese, è finito in ospedale per aver fatto una cosa del genere, rompendosi la gola.

L’uomo ha cercato di trattenere lo starnuto chiudendo naso e bocca e ora si ritrova in ospedale incapace di deglutire e parlare.

Praticando questa manovra ha udito uno scoppio sul suo collo, così è corso al pronto soccorso.

Il dolore era forte e il collo molto gonfio.

Quando i medici hanno esaminato il paziente hanno avvertito un crepitio su entrambi i lati del collo, un suono che si estendeva fino alla cassa toracica.

Questo sintomo si palesa quando ci sono bolle d’aria nel tessuto sotto la pelle.

Quindi hanno effettuato delle scan hanno notato una bolla di capelli intrappolata sotto la pelle dell’uomo, la maggior parte nella regione del collo.

La scan ha mostrato anche bolle d’aria nel petto, nella parte tra i polmoni, una condizione chiamata pneumodiastimo.

Secondo i medici lo starnuto represso ha causato un buco nella parte profonda della laringe, o della gola, dove c’è la connessione con l’esofago.

Per questo motivo gli sono stati somministrati degli antibiotici e per il rischio di infezione della lacerazione veniva nutrito con un tubo.

Nel giorni successivi i suoi sintomi sono migliorati e lui è stato in grado di ingerire cibo solido.

A distanza di due mesi il protagonista di questa storia non ha più problemi di salute causati dall’incidente.

Una lacerazione della faringe si verifica con un brusco trauma al collo, ma in rari casi può accadere quando le persone vomitano, si sforzano o tossiscono con forza.

“Fermare lo starnuto bloccando le narici e la bocca è pericoloso e dovrebbe essere evitato” ha dichiarato Waning Yang che si è occupata del caso di cui si parla su BMJ.

Unimamme, voi trattenete gli starnuti? Continuerete a farlo?

Noi vi lasciamo con la storia di una bambina a cui è entrato un pastello nell’occhio.

 

Maria Sole Bosaia

Recent Posts

  • Alimentazione dei bambini

Cibi e allergeni: le nuove disposizioni per i bambini fino ai 12 anni

Questo articolo esplora le nuove disposizioni su cibi e allergeni per i bambini, sottolineando l'importanza…

23 ore fa
  • Salute e benessere bambini

Malanni di stagione: come non andare in panico se tuo figlio ha la febbre alta

Questo articolo offre consigli pratici su come gestire la febbre alta nei bambini, riconoscere i…

1 settimana fa
  • Allattamento

Ruttino neonato: mito o necessità? La verità e come farlo nel modo giusto

Dopo ogni poppata, i genitori attendono con ansia il momento in cui il loro piccolo…

1 settimana fa
  • Scuola

Compiti a casa: un incubo? Come trasformare lo studio in un gioco

Pianti disperati e proteste per non fare i compiti a casa sono scene quotidiane in…

1 settimana fa
  • Salute e benessere in gravidanza

Gonfiore addominale in gravidanza: cause e rimedi

Questo articolo esplora le cause dei gonfiori addominali in gravidanza e offre consigli pratici per…

1 settimana fa
  • Adozione e affido

Celebrità adottate: ecco 9 incredibili storie poco conosciute

Nel mondo dello showbusiness ci sono diverse celebrità adottate di cui si sa molto poco:…

1 settimana fa