Primo Piano

Nuova sconvolgente intercettazione da Bibbiano: “il maresciallo ha figli”
Maria Sole Bosaia
Nuove intercettazioni su Bibbiano.

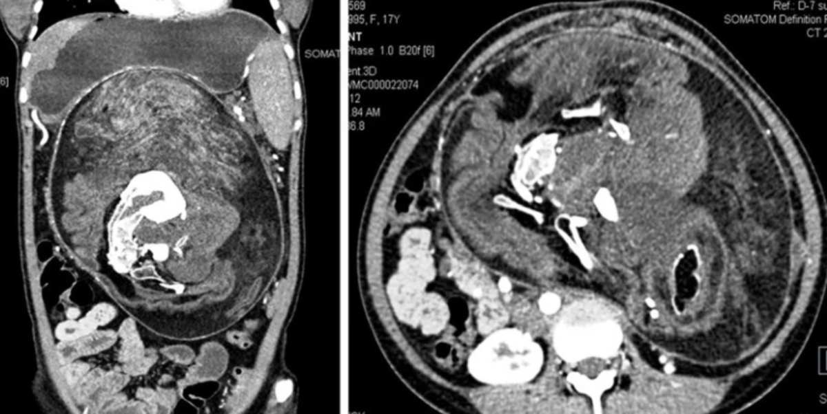
Adolescente “incinta” da 17 anni: aveva il suo gemello dentro di sé – FOTO
Maria Sole Bosaia
Un caso medico rarissimo scoperto in un'adolescente.

Romina Power condivide una foto inedita con la figlia Ylenia – FOTO
Maria Sole Bosaia
Romina Power condivide un ricordo della figlia scomparsa.

Costanza Caracciolo: “vi spiego perché non mostro il volto di mia figlia sui social” – FOTO
Maria Sole Bosaia
Costanza Caracciolo parla della figlia.

Lo smog è come fumare un pacchetto di sigarette al giorno
Maria Sole Bosaia
Uno studio dai risultati molto preoccupanti

3 mamme allattano i loro figli: “nutrire è la cosa più importante” – FOTO
Maria Sole Bosaia
Un progetto fotografico sull'allattamento.

Ilary Blasi e la possibilità di un altro figlio, la risposta ai fan
valeria bellagamba
Ilary Blasi e la possibilità di un altro figlio, la risposta ai fan su Instagram. Ilary Blasi mamma felice di tre ...

Un neonato è stato sepolto dai genitori in una scatola da scarpe – FOTO
Maria Sole Bosaia
Genitori spietati.

Parto in ipnosi: senza dolore e senza farmaci, anche in Italia
valeria bellagamba
Parto in ipnosi: senza dolore e senza farmaci. Arriva negli ospedali pubblici anche in Italia. Presto anche in Italia si potrà ...

“Io, prossima al parto sono stata costretta a scendere dal bus”: il racconto shock di una mamma
Maria Sole Bosaia
Una mamma denuncia.

“Mia mamma mi ha requisito lo smartphone”: il suo tweet diventa virale per un simpatico motivo
Maria Sole Bosaia
Una ragazza di ingegna per rimanere suo social.

“Nadia era dalla parte dei più deboli”: le parole per Nadia Toffa toccano il cuore -FOTO
Maria Sole Bosaia
Oggi si è celebrato il funerale di Nadia Toffa

Meteo del weekend di Ferragosto 2019: le previsioni – Mappa interattiva
valeria bellagamba
Meteo del weekend di Ferragosto 2019: le previsioni, che tempo farà sull’Italia. Sarà un Ferragosto all’insegna del bel tempo in Italia, ...

Nadia Toffa è morta, la conduttrice delle Iene non ce l’ha fatta
valeria bellagamba
Nadia Toffa è morta, la conduttrice delle Iene non ce l’ha fatta. La notizia arrivata poche ore fa. Non ce l’ha ...

Ricky Martin mostra la sua bambina, Lucia – FOTO
valeria bellagamba
Ricky Martin mostra il volto della sua bambina, ecco Lucia. Il cantante Ricky Martin ha pubblicato sui social la prima foto ...