Piedini+del+feto+che+sporgono+per+rottura+dell%26%238217%3Butero%3A+un+caso+rarissimo+%28FOTO%29
universomammait
/2017/01/01/piedini-sporgenti-dopo-la-rottura-dellutero-unimmagine-rarissima-foto/amp/

Piedini del feto che sporgono per rottura dell’utero: un caso rarissimo (FOTO)

Published by
Redazione Universo Mamma

Care unimamme, oggi parliamo di una complicazione ostetrica grave, la rottura dell’utero che è potenzialmente letale per mamma e bambino.

Non è fortunatamente molto frequente, e l’incidenza cambia a seconda che l’utero sia sano o “cicatriziale”, presenti cioé dei tagli per parti o interventi precedenti:

  • è di 0,7 su 10.000 nel primo caso
  • arriva a 5,7 su 10 mila nel secondo.

Il caso di cui vi parliamo riguarda una donna incinta di 6 mesi (22 settimane), che benché giovane (solo 33 anni), era alla sua sesta gravidanza e aveva avuto 5 cesarei precedenti. Per tale motivo la parete del suo utero era più fragile.

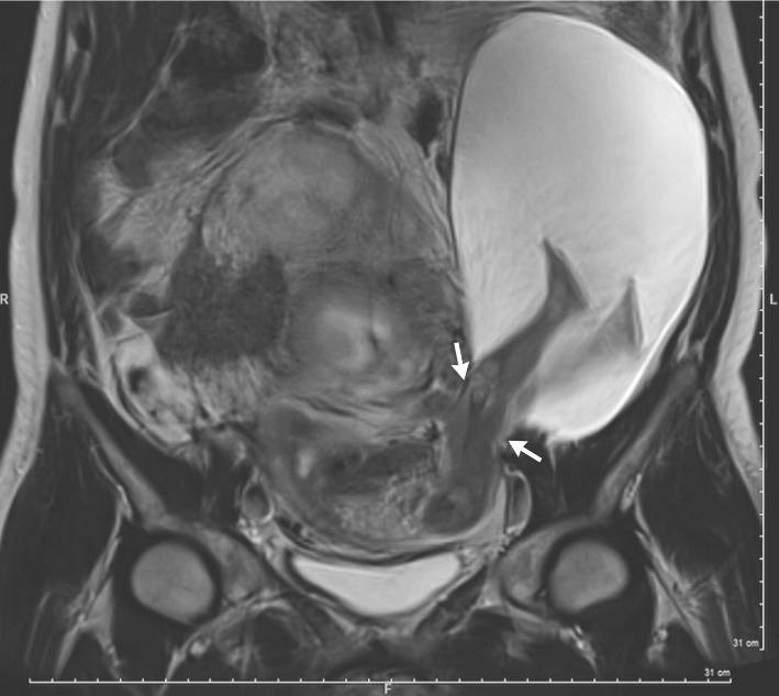
L’ecografia mostra i piedini che sporgono dopo una rottura dell’utero

La donna si era sottoposta a una semplice ecografia di routine, senza aver prima lamentato alcun sintomo.

Dalla risonanza magnetica sono ben visibili i piedini del figlio ancora all’interno del sacco amniotico che però è fuoriuscito per una parte dall’utero: in termini clinici, siamo davanti a un'”ernia del sacco amniotico” e a una rottura della parete uterina di sinistra di 2,5 cm.

Sul The New England Journal of Medecin si legge che i medici avevano avvisato la coppia dei rischi potenziali, ossia di

ma la donna e il marito hanno deciso di continuare la gravidanza, accettando però di essere monitorati più frequentemente.

A 30 settimane hanno ripetuto l’ecografia che ha mostrato un peggioramento delle condizioni: l’ernia del sacco amniotico era cresciuta includendo addome e gambe del feto. I medici hanno quindi ritenuto necessario effettuare il taglio cesareo e far nascere il bambino che pesava 1,385 g.

Subito dopo il parto, i medici hanno riparato l’utero. Il decorso post-operatorio della donna è avvenuto senza complicazioni e la neomamma è stata dimessa dopo 5 giorni.

Oggi il bambino e la mamma, a distanza di 6 mesi, stanno bene.

Insomma unimamme, una storia fortunatamente a lieto fine ma che rappresenta un caso rarissimo: se ne contano solo 26 nella letteratura medica, come sostenuto dall’autore dell’ecografia, il dottor Pierre-Emmanuel Bouet, ginecoloco dell’ospedale di Angers, intervistato da LiveScience.

Redazione Universo Mamma

Recent Posts

  • Alimentazione dei bambini

Cibi e allergeni: le nuove disposizioni per i bambini fino ai 12 anni

Questo articolo esplora le nuove disposizioni su cibi e allergeni per i bambini, sottolineando l'importanza…

1 giorno fa
  • Salute e benessere bambini

Malanni di stagione: come non andare in panico se tuo figlio ha la febbre alta

Questo articolo offre consigli pratici su come gestire la febbre alta nei bambini, riconoscere i…

1 settimana fa
  • Allattamento

Ruttino neonato: mito o necessità? La verità e come farlo nel modo giusto

Dopo ogni poppata, i genitori attendono con ansia il momento in cui il loro piccolo…

1 settimana fa
  • Scuola

Compiti a casa: un incubo? Come trasformare lo studio in un gioco

Pianti disperati e proteste per non fare i compiti a casa sono scene quotidiane in…

1 settimana fa
  • Salute e benessere in gravidanza

Gonfiore addominale in gravidanza: cause e rimedi

Questo articolo esplora le cause dei gonfiori addominali in gravidanza e offre consigli pratici per…

1 settimana fa
  • Adozione e affido

Celebrità adottate: ecco 9 incredibili storie poco conosciute

Nel mondo dello showbusiness ci sono diverse celebrità adottate di cui si sa molto poco:…

1 settimana fa