Bimba di 2 anni ha un incidente mentre colora | FOTO

I bambini, soprattutto quelli molto piccoli, almeno fino ai 3 anni, necessitano di una costante supervisione, gli incidenti domestici sono sempre dietro l’angolo ed anche i giochi, come abbiamo già visto, possono essere pericolosi.
oliviasmith-430x241Un momento di distrazione può causare gravi conseguenze per i nostri bambini, e questo è stato il caso di una bimba americana, Olivia Smith.

Bambina di 2 anni salvata dopo che un pastello in un occhio le ha trapassato il cervello

La piccola aveva solo 20 mesi quando, disegnando, è scivolata ed è caduta su un pastello arancione, riuscendo a conficcarselo, attraverso l’occhio, fin nel cervello.

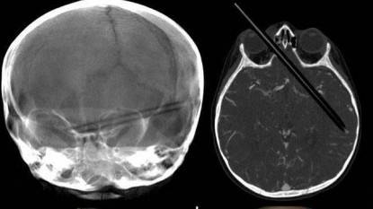
Inizialmente la madre ha pensato che si trattasse di una matita rotta, poi però la realtà si è mostrata ben diversa. La bimba è stata portata di corsa al Boston Children’s Hospital nel New Hempshire, dove dalle lastre è risultato che dall’occhio la matita aveva attraversato parte dell’emisfero destro del cervello e quello sinistro, fermandosi poco prima dell’orecchio sinistro.

Ed è qui che la vicenda assume i toni del miracolo, perché l’oggetto nel cervello di Olivia non ha scalfito né il nervo ottico, né vene, arterie o altre delicatissime parti che avrebbero potuto comportare cecità, paralisi o altri devastanti effetti. Solitamente infatti un corpo estraneo che penetra nel cervello causa un sanguinamento tale da minacciare la vita del paziente, ma questo non è stato il caso di Olivia.

Radiografie di un cranio con matita conficcataLa matita è stata poi rimossa nel corso di un intervento svoltosi a quattro mani e, data la delicatezza dell’intervento, è durato 3 ore e 45 minuti: la procedura di estrazione è stata lentissima e un’eventuale errore avrebbe potuto rivelarsi fatale.

Nel complesso l’operazione è andata bene e la paziente ha risentito solo di tre micro ictus, attacchi che hanno compromesso solo temporaneamente le funzioni della parte destra.

Dopo un breve ricovero di una settimana in ospedale, Olivia è potuta tornare a casa.

Olivia oggi si è ripresa benissimo e conduce una vita normale.

Decisamente una bimba fortunata, la cui storia ci rende felici per come è andata a finire, ma che funge da monito per ricordarci che sarebbe potuta finire veramente male.

E voi unimamme, avevate mai pensato a questo pericolo?

Purtroppo a volte capitano incidenti domestici per un istante di distrazione, come nel caso di una bimba schiacciata da una cassettiera.

Gestione cookie