Tanto abbiamo scritto sui danni provocati dagli Smartphone e dai Tablet nonché di quanto il loro utilizzo rovini il rapporto tra genitori e figli ma quanto mostrato da un famoso chiropratico australiana, il dottor James Carter, dovrebbe davvero mettere in guardia noi genitori e cominciare a prendere in considerazione quanto faccia male lasciare troppo nelle mani dei nostri figli questi oggetti.
Smartphone e Tablet ingobbiscono i nostri figli: la lastra shock del collo di un bambino di 7 anni
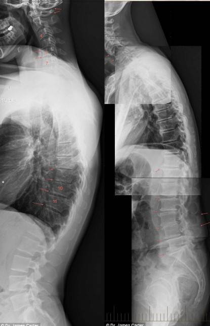
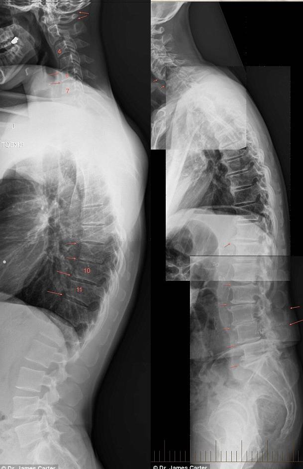
Il dottor James Carter, un famoso chiropratico australiano, di Niagara Park nella Nsw Central Coast, ha pubblicato sul Daily Mail Australia le lastre di alcuni bambini di 7 anni nelle quali si vedono i danni causati dall’uso eccessivo di Smartphone e Tablet alla loro spina dorsale.
Tale condizione chiamata “text neck” (letteralmente collo da testo) è, purtroppo, comune a molti bambini e adolescenti, come testimonia il dottor Carter il quale dichiara di aver visto un notevole aumento di questi disturbi negli ultimi anni. «Ho iniziato a vedere molti casi di questo tipo negli ultimi due anni, specialmente in bambini e adolescenti che trascorrono troppe ore con la testa china a scrivere sms. Tali ragazzi sembrano avere una schiena a ‘zainetto’, che spesso fa male o provoca dolore a testa, collo e spalle nonché intorpidimento e dolore a mano e braccia e, addirittura, ansia».
Da quanto sostenuto dallo specialista sembra che il 50% delle persone affette da tale disturbo, il Test Neck, sono adolescenti in età scolare. I ragazzi, così come dimostrano le radiografie, si ritrovano con la schiena curva e seri problemi di postura.
Ecco quindi spiegate le foto shock che dimostrano quanto sostenuto dal dottor James Carter e avvalorato anche da un altro dottore, Kenneth Hansraj, il quale spiega che il peso sul collo aumenta quando la testa si curva in giù, postura utilizzata quando si utilizzano Smartphone e Tablet.
Il dottor Carter ha poi fornito anche 5 consigli per evitare il “text neck”:
- mantieni il tuo corpo in movimento. Restare nella stessa posizione per lunghi periodi va evitato
- evita di dormire pancia in sotto
- evita di usare il pc o il telefono quando stai seduto o sdraiato sul letto
- alza il monitor del pc o tieni il telefono all’altezza degli occhi, evitando di guardare in basso
- cammina per 40 minuti almeno 4 volte a settimana.
E voi unimamme siete consapevoli di quanto sia pericoloso affidare ai nostri figli tali strumenti?
