Uno studio, anche se di dimensioni molto ridotte, sul Covid-19 sui bambini. Una ricerca svolta in Italia.

Dopo aver riportato i risultati di una ricerca effettuata su bambini cinesi, riportiamo lo studio di alcuni scienziati della Società Italiana di Radiologia Medica e Interventistica (SIRM), che hanno effettuato un primo piccolo studio sui bambini italiani ricoverati per Covid – 19 presso il Policlinico San Matteo di Pavia.
“Mini review pediatrica”: una ricerca italiana su coronavirus e bambini
Si tratta di uno studio effettuato su un numero limitato di bambini, poiché e questo sicuramente farà trarre un sospiro di sollievo a tanti genitori, i piccoli sono molto meno soggetti di noi adulti o anziani a questa malattia. Non per questo però, dobbiamo rilassarci troppo, perché sappiamo che le regole imposte dal nostro governo servono a tutelarci tutti.

Ecco come si è svolto questo studio:
- sono stati presi in considerazione 4 bambini
- l’età media dei piccoli è 4,2 anni
- il range è: 3,5 mesi e 10,9 mesi
-

Coronavirus Lo studio su bambini italiani FOTO Universomamma.it
Ecco che cosa è risultato:
- 2 bambini su 4 avevano la febbre alta a 39°
- 1 su 4 aveva storia di malessere e inappetenza
- 1 su 4 era completamente asintomatico, è stato valutato perché era figlio di genitori col Covid -19, entrambi ricoverati, dunque ricoverato urgentemente per ragioni di assistenza

Gli esami hanno mostrato
- una tenue linfopenia (riduzione dei linfociti), sotto i valori della norma,
- solo 1 paziente aveva la febbre
- 3 bimbi asintomatici presentavano un lieve rialzo dell’LHD

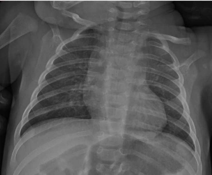
Con le radiografie dei piccoli si è appurato che:
- 3 bimbi su 4 presentavano reperti di normalità (Casi 1-3)
- 1 su 4 che aveva la febbre aveva anche un addensamento polmonare con minimo versamento pleurico di tipo condolidativo, caratterizzato da piccole, plurime chiazzette confluenti. (caso 4)
- Nessun piccolo è stato sottoposto a TC del torace
Sottolineiamo che l’unico torace positivo era del bambino il cui tampone nasale aveva una abassa carica virale, una specie di ultima coda del Covid -19. il piccolo infatti aveva febbre e sintomi la settimana prima di recarsi al pronto soccorso pediatrico. I bambini sintomatici hanno ricevuto antibiotici e terapia di supporto. Lo studio dimostra che i piccoli, certo, possono infettarsi, ma la loro situazione respiratoria non era grave.
Unimamme, cosa ne pensate di questo piccolo studio pubblicato su Società italiana di Radiologia Medica e Interventistica.
LEGGI ANCHE > CORONAVIRUS E BAMBINI: CONTAGIO E SINTOMI STUDIATI IN CINA
Per restare sempre aggiornato su notizie, ricerche e tanto altro continua a seguirci sui nostri profili FACEBOOK e INSTAGRAM o su GOOGLENEWS.
