
Quando si parla di risonanza magnetica ci si riferisce sempre a possibilità di approfondire alcune problematiche di tipo sanitario, grazie proprio alle immagini “salvavita” di ciò che avviene all’interno del nostro corpo. La Risonanza Magnetica per Immagini (MRI) è infatti una tecnica utilizzata in campo medico per produrre immagini ad alta definizione dell’interno del corpo umano. In questo caso però, lo scopo dell’immagine risultante dalla risonanza magnetica è un altro.
La risonanza magnetica può catturare l’amore: la foto virale di una scienziata

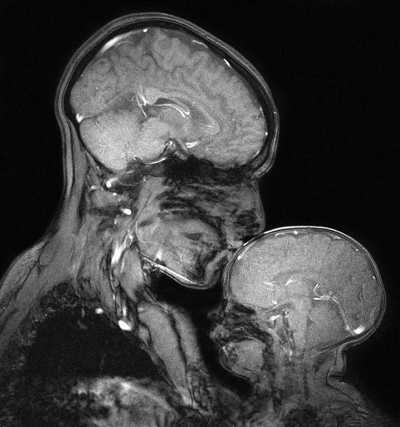
Protagonisti della scansione sono Rebecca Saxe, una neuroscienziata del dipartimento scienze cognitive del MIT e il figlio Percy di 2 mesi. Si potrebbe parlare di una “maternità ultramoderna”. La dottoressa Saxe, assieme al collega Atsushi Takahashi, hanno prodotto l’immagine non per diagnosticare eventuali problemi, ma solo per il gusto di vedere come appariva un bacio di una mamma al figlio.
Affascinante è sicuramente il confronto tra il cervello dell’adulto e il cervello del bambino. “Alcune persone guardano e vedono soprattutto le differenze: come è sottile il cranio, quanto poco spazio ci sia tra il mondo esterno e il suo cervello: solo un piccolo, sottile e fragile guscio“, ha detto Saxe a Today. “D’altra parte, si può guardare e vedere quanto simile sia al cervello di sua madre. Quanto vicino in termini di dimensioni. Molto più vicino in termini di dimensioni che non la sua mano.” La più grande differenza, sottolinea Saxe, è che il cervello di un bambino non ha quasi mielina, la guaina isolante che protegge le cellule nervose del cervello. Saxe, che è un’assistente professore di neuroscienze cognitive presso il MIT, studia come i nostri cervelli costruiscono i pensieri e il linguaggio: si interessa in modo particolare al modo in cui il cervello acquisisce e sviluppa tali capacità durante l’infanzia.
La stessa racconta che dopo aver dato alla luce il primo figlio ha studiato per molto tempo lo sviluppo del suo cervello grazie alla risonanza magnetica: “Nel mio laboratorio, al MIT, usiamo la Risonanza Magnetica per vedere il flusso sanguigno nei cervelli dei bambini; leggiamo loro delle storie e osserviamo come la loro attività cerebrale cambia in reazione alla trama. Così facendo, investighiamo su cosa pensano i bambini dei pensieri altrui” ha scritto Saxe sul Smithsoninamag. “Sentivo come se la mia esperienza di essere sua madre e la mia esperienza di essere un neuroscienziato si fossero improvvisamente e profondamente intrecciate.” È così che ha iniziato a pensare a catturare un’immagine di risonanza magnetica di se stessa con il suo bambino. Poiché però lo scanner non era configurato per catturare immagini di 2 persone, ci sono volute un sacco di modifiche e mesi di trattative con i tecnici per capire come fare. Per 2 giorni lei e Percy hanno passato 2 ore in fase di scansione al fine di ottenere l’immagine che vediamo, che è quella scelta tra 25 tentativi. La difficoltà consisteva nel dover restare immobili per almeno un paio di minuti e riuscire a farlo con un bambino piccolo è quasi impossibile. Inoltre la macchina è molto rumorosa, infatti la mamma ha indossato tappi per le orecchie mentre il bimbo delle cuffie, che hanno funzionato: Percy nella foto dormiva.
Questa mamma conclude il suo racconto dicendo: “La Madre e il Bambino è un potente simbolo di amore e innocenza, bellezza e fertilità. Sebbene tali valori materni, e le donne che li incorporano, possono essere venerati, normalmente sono visti in opposizione ad altri valori: ricerca e intelletto, progresso e potere. Ma io sono una neuroscienziata e ho lavorato per creare quest’immagine; e sono anche una madre in essa, rannicchiata su mio figlio neonato“.
Di seguito un video in cui questa mamma scienziata spiega i risultati dei suoi studi.
E voi unimamme, che ne pensate di questa foto e del suo significato?
Per restare sempre aggiornato su notizie, ricerche e tanto altro continua a seguirci sui nostri profili FACEBOOK e INSTAGRAM o su GOOGLENEWS.
